ホワイトニング 丹羽郡扶桑町 きなな歯科 犬山市江南市からすぐ

HOME | 診療案内 | ホワイトニング

ホワイトニング

ホワイトニングは、色がくすんでしまった歯を、削ることなく白くする歯の美白です。
当院では診療室で行うオフィスホワイトニングと、自宅で行っていただくホームホワイトニングがあります。
オフィスホワイトニングは、短時間で効果が得られます。
ホームホワイトニングは、夜、寝ている間に行えるので忙しい方には最適ですが2週間ほどかかります。
2つのやり方を合わせるとより効果的になります。
ホワイトニングは人それぞれ変化が違いますので、治療期間、回数が変わるため治療費が多少変わることがあります。
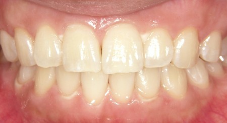
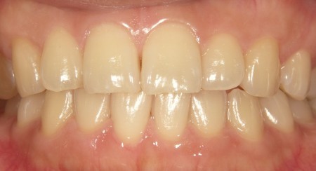
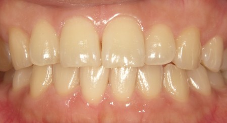
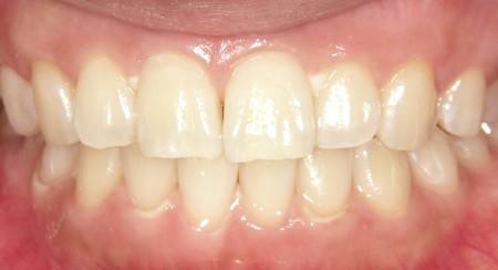
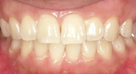
ビヨンドシステムを使い一回の処置(約1時間)でここまで白くなりました