根管治療 丹羽郡扶桑町 きなな歯科 犬山市江南市からすぐ

HOME | 診療案内 | 根管治療

根管治療

根管とは歯の中にある神経や血管の入っている細いトンネルのことをいいます。
根管治療とは虫歯などで汚染された根管内の細菌をとり除き、消毒する治療のことです。
あまり表には出ない治療ですが、家を建てる基礎工事と同じでとても重要な治療です。

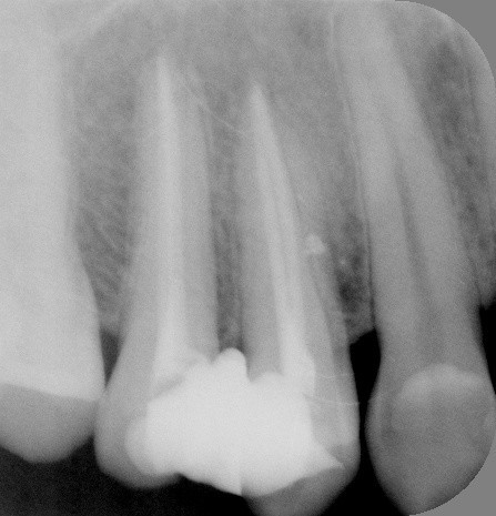
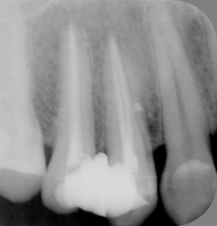
根管治療の術前・術後 Kさん

(左)神経に至る虫歯が2本あります
(右)根管の中に白いお薬を緊密に入れました

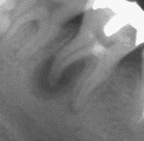
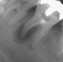
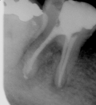
根管治療の術前・術後 Sさん

根管治療 前
根管治療 後
(左)神経が腐って根の外まで、炎症が波及しています(黒い影になっています)
(右)根の先の影も小さくなり、白いお薬を入れました