歯牙移植 丹羽郡扶桑町 きなな歯科 犬山市江南市からすぐ

HOME | 診療案内 | 歯牙移植

歯牙移植

インプラント全盛の時代ですが、費用の問題で難しい方もいらっしゃいます。
保険でもブリッジのように両隣の歯を削らなくてもよく、入れ歯にならなくてもいい方法もあります。これは親知らずがあって、その親知らずが使える事が条件になってくるのですが、抜かなければならない歯の部分に、親知らずを抜いて埋め込み移植する方法です。
ただ、インプラントのように成功率は高くなく、治療期間も長くなります。

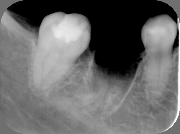
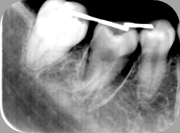
1.左から2番目が大きな虫歯で抜歯が必要です。

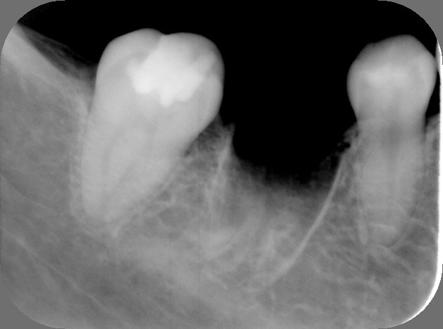
2.抜歯直後

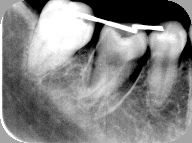
3.上の親知らずを下へ移植直後

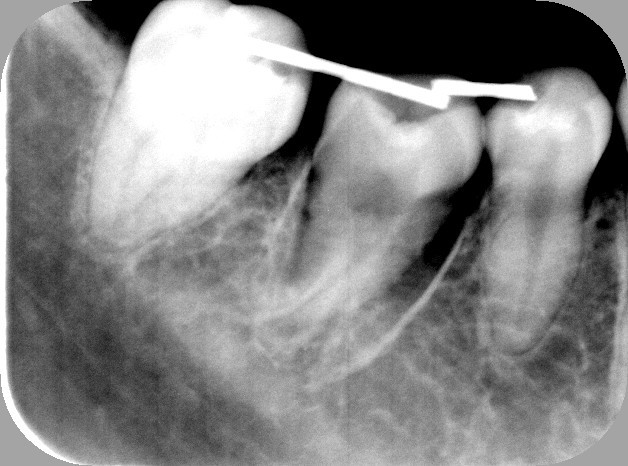
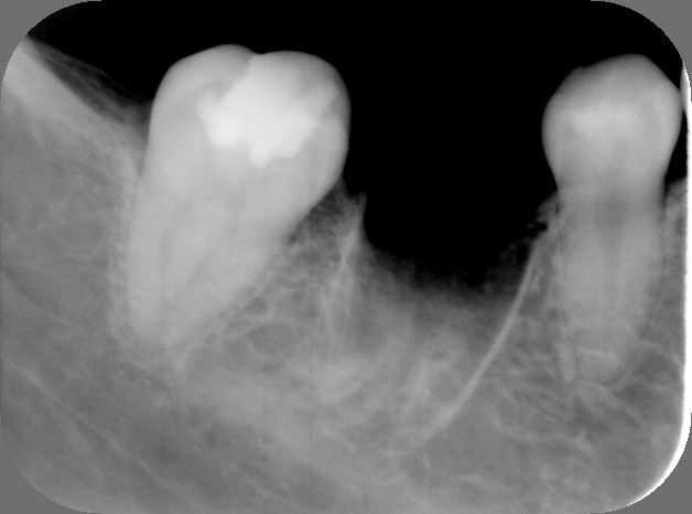
4.移植後3ケ月、骨が出来はじめています。