歯周病 丹羽郡扶桑町 きなな歯科 犬山市江南市からすぐ

HOME | 診療案内 | 歯周病

歯周病

歯周病はプラーク(磨き残した汚れ)が原因の病気です。患者さんのブラッシングと歯科医院での治療が両方ともうまくいかなければ、なかなか改善しません。
当院の治療としましては、まずお口の中の状態を患者さん御自身と私たちが把握するために、歯周ポケット、口腔内写真、ブラッシング状態のチェック、位相差顕微鏡による細菌層のチェックなどの検査を行います。
その資料をもとに、正しいブラッシング法を覚えてもらいながら、お口の汚れ、歯石を超音波やハンドスケーラーなどを使い除去していきます。
症状やポケットの深さにより、患者さんによっては麻酔をして歯石をとる事もあります。歯石除去の回数や期間は様々です。
 

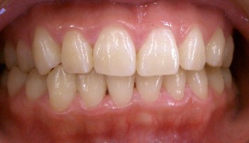
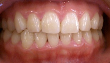
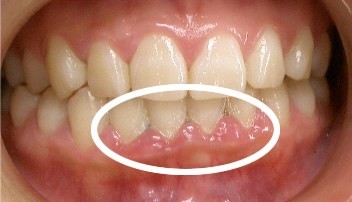
簡単なクリーニングとブラッシングのみで改善したケース

 

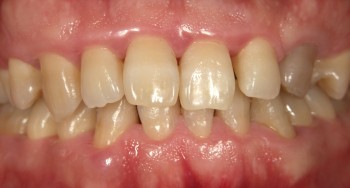
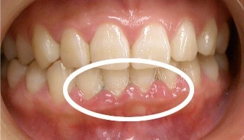
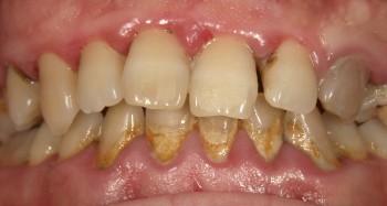
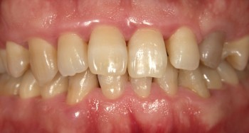
麻酔をしてクリーニングを行ったケース(治療途中)