予防歯科 丹羽郡扶桑町 きなな歯科 犬山市江南市からすぐ

HOME | 診療案内

予防歯科

きなな歯科では、患者さんが将来的にも健康な歯を保てるように、治療と同じくまたはそれ以上に予防に力を入れていきます。

  1. 歯のクリーニング、ポリッシング
  2. 虫歯、歯周病のチェック
  3. 口臭管理
  4. 高濃度フッ素による歯の強化

 
虫歯や歯周病はお口の中の細菌が原因であることがわかっています。そのため
お口の中の悪い細菌を除去することが、歯を守るための最大のキーポイントになります。
しかし細菌は「バイオフィルム」とよばれる細菌の塊をつくり、歯ブラシだけでは除去することができません。歯の健康維持には歯科医院での定期的なクリーニングが欠かせません。
 
定期的なバイオフィルムの除去は患者さんのリスクにより、一年に一回で済む方から1,2ヶ月に一回の方もあり様々です。
 
これらの理由から、痛みが出たときだけの場当たり的な治療ではなく、予防を中心とした治療が重要です。 

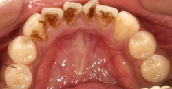
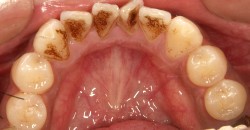
歯のクリーニング ビフォー
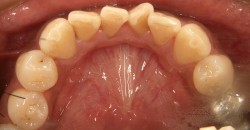
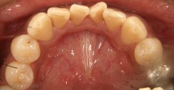
歯のクリーニング アフター

シーラント

奥歯のかみ合わせ面の溝からの虫歯を防ぐ薬がシーラントです。
萌えてまもない歯の溝は深く複雑ですので、汚れが残りやすく虫歯になりやすいです。
そのため、この溝にフッ素入りの樹脂のシーラントでコーティングします。
ただしこのシーラントの予防はかみ合わせ面だけですので、歯と歯の間や歯肉との境目はしっかり磨いてください。