インプラント 丹羽郡扶桑町 きなな歯科 犬山市江南市からすぐ

HOME | 診療案内 | インプラント

インプラント

歯のない部分に自分の歯のように噛めるインプラントがあります。
歯を失った部分にインプラントを入れる手術が必要で、骨との結合期間がかかり治療期間が長くなりますが、従来の入れ歯より自然に食事ができます。
また、ブリッジのように両隣の歯を削る必要もありません。
これらは手術といっても親知らずを抜くのと同等かそれよりも簡単なこともあります。

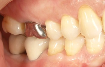
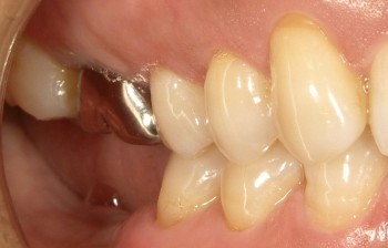
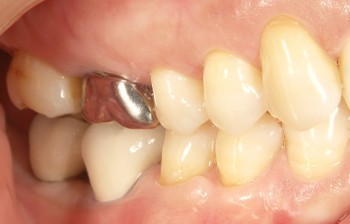
インプラントの術前・術後 Kさん

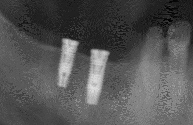
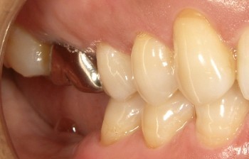
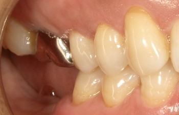
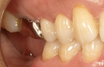
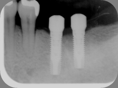
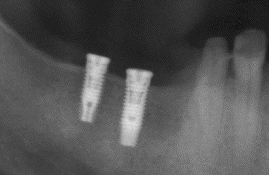
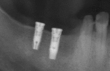
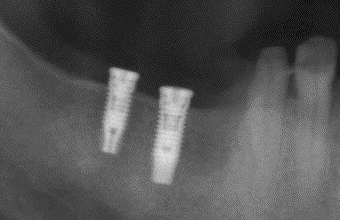
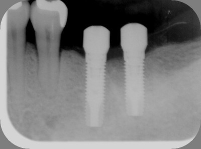
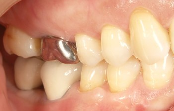
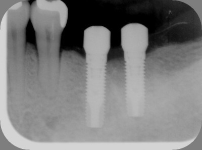
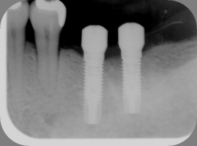
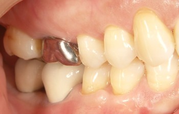
インプラントの術前・術後 Nさん

前歯のインプラント Kさん

インプラントの術前・術後 Nさん